Minimally Invasive Surgical Technique.

What is Tunneling Technique?

The tunneling technique is a special minimally invasive surgical and suturing technique developed by Dr. Pat Allen utilizing donated human tissue (Alloderm) to correct gum recessions. Utilizing specially designed microsurgical instruments developed by Dr. Allen, a small tunnel is created around those teeth with gum recession. Once the tunneling is completed, Alloderm is then inserted into the tunnel, which are then stabilized with microsurgical sutures. By utilizing donated human tissue there is no need for cutting of the roof of  the mouth. In addition the special microsurgical technique performed have minimal bleeding, pain, and swelling in most cases and post operative discomfort is very minimal. 

Gum Recession Treatment

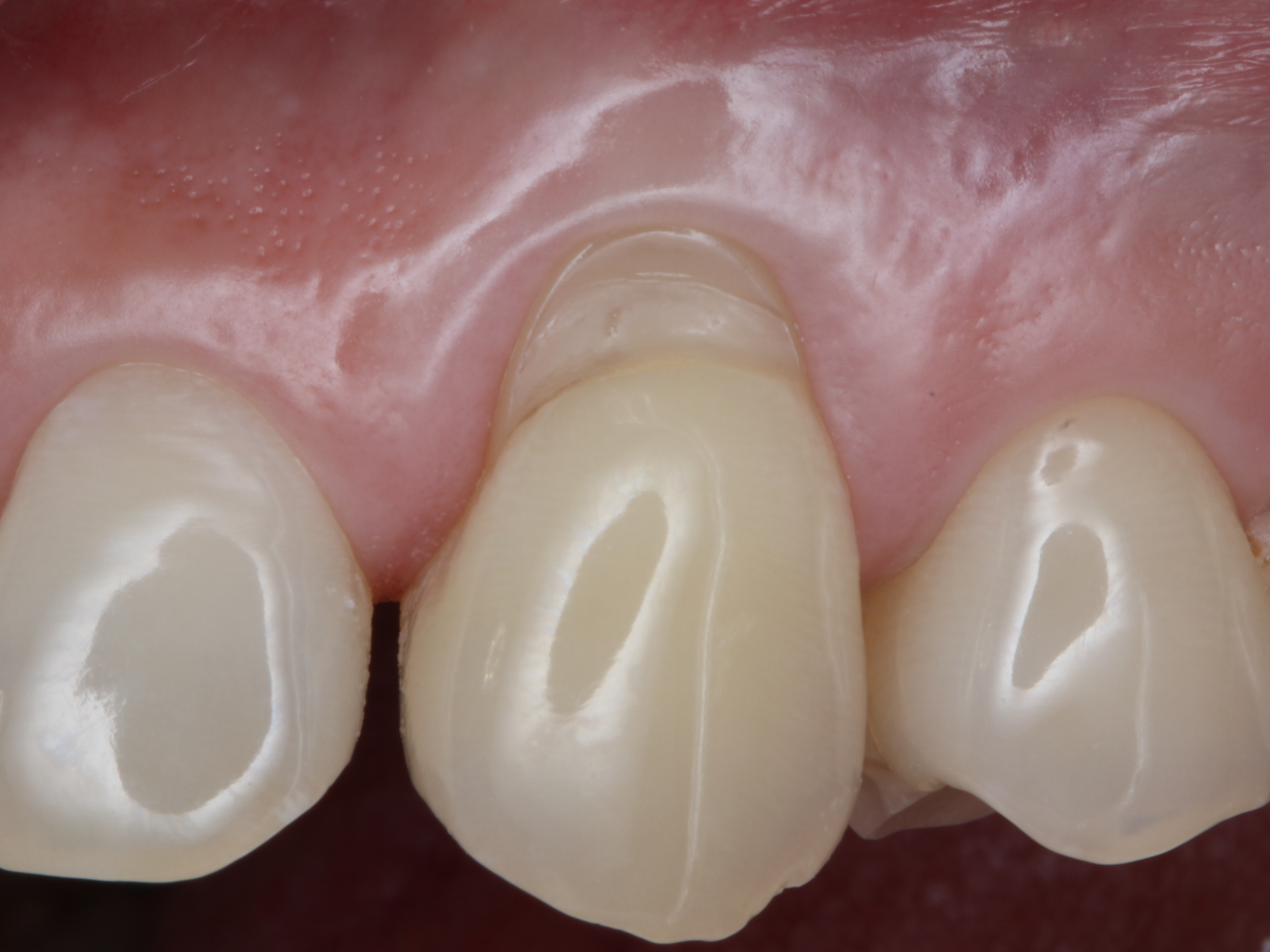
Pleasant Dental Brookline Soft Tissue Before

Before.

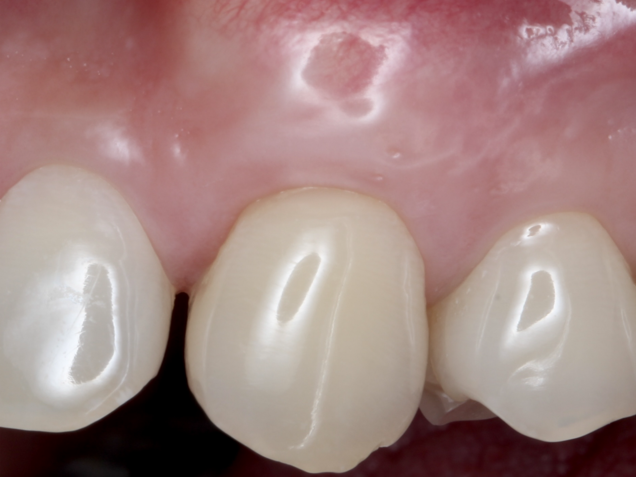
Pleasant Dental Brookline Soft Tissue After

After.

Computer Guided Implant Surgery.

What is computer guided implant surgery?

Computer guided implant surgery is an advancement of replacing teeth with dental implants with the aid of new computer technology. With the use of Computerized Tomography (CT) Scan techniques and 3-D imaging, the placement of dental implants can be virtually visualized and placed prior to surgery, which eliminates the guesswork in determining the best locations for dental implant placement. Once virtually planned, utilizing computer-aided design and computer-aided manufacturing technology a surgical guide with the planned implant position is fabricated which is then utilized during the implant surgery for precise and accurate placement of the implants. Computer guided implant surgery provides greater patient satisfaction and simplifies the dental implant treatment process.

Computer Guided Implant Therapy.

Pleasant Dental Brookline Surgical Guide

3d printed surgical guide for more accurate implant placement.

Pleasant Dental Brookline Surgical Guide Drill

Precision drilling utilizing 3d printed guide.

Full Mouth Rehabilitation.

What is Full Mouth Rehabilitation?

It is utilizing restorative dental treatments to rebuild your entire smile. Depending on the condition of the existing intra-oral condition non-surgical treatment utilizing single crowns and fixed bridged can provide the solution. When the overall condition of the teeth are poor, along with severe bone loss, dental implant therapy in combination with hard and soft tissue are necessary for the overall comprehensive treatment. At PDA we utilize the latest digital technology from the beginning to simulate the optimal outcome.

Full Mouth Restorations.

Pleasant Dental Brookline Implant Planning

Utilizing computer generated teeth mockup for implant planning.

Pleasant Dental Brookline Implant Digital Planning

Planned and execute the placement of implants for optimal outcome.

Contact Us Today.

If you have any questions, concerns, or would like to schedule an appointment, please contact us today.  We look forward to providing you with the personal care you deserve.